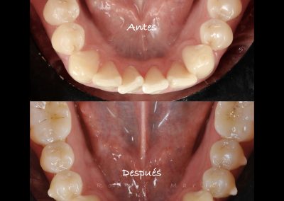
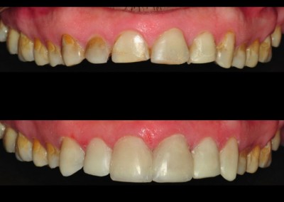
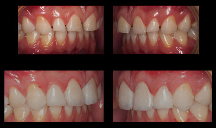
CASOS REALES – CLÍNICA DENTAL JUNCAL Alineadores (Ortodoncia Invisible) RESERVA TU HORA ONLINE CARILLAS RESERVA TU HORA ONLINE Tecnología computacional. Restauraciones estéticas de Cerámica. Rehabilitación sobre Implantes (en sólo 2 sesiones) IMPLANTES (PROVISORIO CARGA INMEDIATA) RESTAURACIONES ESTÉTICAS BLANQUEAMIENTO LED PRÓTESIS INMEDIATA SELLANTES PARA PREVENIR CARIES EN NIÑOS